ACNES外科的治療
目次
前皮神経絞扼症候群(ACNES)症例集
【症例1】小学生低学年の男児
右鼠径部の痛み
右腸骨鼠径神経切除で治癒。受診から治療終了まで1か月。

【症例2】 10代の男児
発症から6か月目に当院受診。
歩行困難で即日入院しリハビリ開始。入院1週間後に手術施行。左腹直筋皮神経切除。術後1週間目に緩解し自力歩行で退院。外来リハビリを継続し6か月後に治癒。病理所見では神経血管束の血管内に血栓が認められた。


【症例3】 20代の女性
発症から2年目に当院を受診。
術後から疼痛消失。1週間後退院。

【症例4】 10代男児
発症から6か月間、近医でブロックを受けていた。
一時的な改善は得られるものの再発を繰り返すため当院を受診。CTで疼痛部位に一致して皮神経のようなものが描出された。小切開で皮神経を切除。術後より疼痛の消失を自覚。翌日に退院。


【症例5】 30代男性
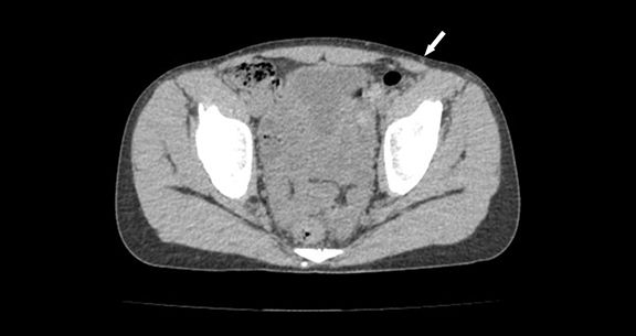
2年前にコロナ罹患したのち腹痛が増悪。電撃痛も出現し当院を受診。
CTで腹直筋の菲薄化と変性が疑われ、疼痛部位に一致して皮神経が強く描出された。手術を施行し皮神経を切除。皮神経に隣接して血管が交差していた。電撃痛は消失。病理所見では皮神経の広範な変性を認めた。


